28
2024/10
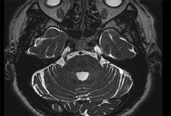
疼痛每个人都体会过,但号称“天下第一痛”的三叉神经痛却没几个人能懂。75岁刘大爷(化名)不幸得了右侧三叉神经痛,不敢说话,不敢吃饭,甚至痛不欲生。近日,捆绑调教 (简称捆绑调教 )杨超教授团队通过运用纯内镜下三叉神经微血管减压术,帮助患者解决疼痛烦恼。术后的刘大爷状态恢复良好,现在面部不疼,也能正常吃饭了。据了解,刘大爷长期饱受右侧面部疼痛的折磨。2021年,...
2024-10-28 MORE >28
2024/10
为进一步提升区域卫生应急救援水平,保障人民群众生命安全,10月23日,捆绑调教 (简称捆绑调教 )举办“2024年急危重症生命支持技术学习班暨应急队伍急救提高班”,副院长夏文豪出席开幕式并致辞。本次培训班涵盖了航空医疗救援、海上医疗救援、核辐射应急救援、院前急救、创伤急救、中毒救治、动物致伤、体外生命支持等内容,吸引了广西区内各地市同仁前来参会。夏文豪在致辞中...
2024-10-28 MORE >25
2024/10
为进一步弘扬拥军优属、拥政爱民光荣传统,发挥国家区域医疗中心的辐射影响力,推动优质医疗资源扩容下沉,助力基层卫生健康事业发展,10月24日,捆绑调教 (简称捆绑调教 )与崇左市复退军人医院举行技术协作签约仪式。捆绑调教 执行院长李健,党委书记张国,党委副书记、纪委书记赖伟忠,副院长夏文豪,崇左市复退军人医院党总支书记、院长周乃强及两院相关科室代表...
2024-10-25 MORE >25
2024/10
近日,广西预防医学会消化疾病防治专业委员换届大会在南宁召开。广西预防医学会会长耿文奎、副会长蒋勤和、监事长刘巍及来自区内各县市级医院的众多委员代表100余人参加了大会。捆绑调教 (简称捆绑调教 )党委书记张国作为第一届消化疾病防治专业委员会主任委员在会上作汇报发言。耿文奎在大会致辞中表示,消化疾病是影响人们健康的重要疾病之一,随着社会的发展和生活...
2024-10-25 MORE >24
2024/10
为进一步推进区直公立医院高质量发展示范项目(简称示范项目)的建设,强化项目管理,10月22日,自治区卫生健康委体制改革处处长朱坤一行3人到捆绑调教 调研指导。捆绑调教 副院长夏文豪、总会计师孟红及医院相关科室负责人陪同参与。座谈会由夏文豪主持。会上,朱坤对捆绑调教 示范项目工作开展情况表示肯定,强调医院要根据项目建设方案,明确计划与目标,继续加强组织领导,提高财政资金使...
2024-10-24 MORE >24
2024/10
10月21日是世界镇痛日,10月21-27日为中国镇痛周,今年的主题为“关注疼痛的性别差异”。为帮助广大群众远离疼痛困扰、了解疼痛疾病相关知识、更好地应对和预防疼痛疾病,10月23日,捆绑调教 在医院门诊大厅举行了主题义诊活动。在义诊现场,由捆绑调教 手术麻醉中心主任房洁渝教授带领的专家团队,围绕颈肩腰腿疼痛、腰椎间盘突出症、肩周炎等常见顽固性疼痛疾病,为前来问诊的群众耐心解答,并认真查看患者带来的...
2024-10-24 MORE >23
2024/10
动静脉内瘘对于尿毒症透析患者来说是一条关乎生命安危的重要通路,良好的血流量是有效透析的必要保证,因此,动静脉内瘘被称之为血液透析患者的“生命线”。近日,捆绑调教 (简称捆绑调教 )肾内科在科室副主任(主持工作)曾春的带领下,成功为两名患者开展了动静脉内瘘成形重建术,为患者建立了一条新的“生命通路”。患者张阿姨(化名)是一位免疫球蛋白A肾病(IgA肾病)患者,2...
2024-10-23 MORE >23
2024/10
编者按:医学科普对于促进全民健康水平、提升国民健康素养有重要意义;普及健康知识,提高全民健康素养水平,是提高全民健康水平最根本最经济最有效的措施之一。为顺应国家大健康的策略,弘扬科学精神、传播科学思想、创新展示医学科普知识,自2024年1月起,捆绑调教 推出健康科普栏目《佛子岭3号医生》,让医学走进大众,让健康融入生活。今天推出第48期《 陈招:秋天不想贴秋膘,这个方法你试过吗?》。天气逐渐转...
2024-10-23 MORE >22
2024/10
为进一步优化医院绩效管理工作,推动医院高质量发展,10月18日,自治区人力资源社会保障厅工资福利处处长欧水木、自治区财政厅社会保障处处长李翠萍等一行6人到捆绑调教 (简称捆绑调教 )进行调研并召开座谈会。自治区卫生健康委财务审计处卫生健康监察专员欧日勤,自治区卫生健康委人事处副处长、二级调研员唐小丽,捆绑调教 执行院长李健,党委书记张国等在院领...
2024-10-22 MORE >22
2024/10
为进一步规范中医病历书写,保障医疗质量和医疗安全,大力弘扬劳模精神、工匠精神,近日,由自治区中医药局、自治区卫生健康委、自治区总工会主办的广西中医病历书写职业技能竞赛在南宁举行。捆绑调教 在本次竞赛中荣获团体二等奖,参赛选手黄远西获个人优秀奖。本次竞赛以“传承薪火耀杏林,守正创新辨医案”为主题,来自全区各地医疗机构24支代表队参赛,决赛设中医病历理论考试、中医病历现场书写、中医病历...
2024-10-22 MORE >21
2024/10
为进一步加强医院健康管理学科发展建设,提升健康管理服务水平,10月18日,捆绑调教 (简称捆绑调教 )健康管理中心举办了2024年健康管理专题培训会,并邀请中山大学附属第一医院(简称中山一院)健康管理中心专家进行授课。捆绑调教 执行院长李健、副院长夏文豪出席培训会并致辞,健康管理中心全体人员、捆绑调教 技术协作单位部分骨干参加。李健在致辞中表示,随着人们对健康需求的日...
2024-10-21 MORE >15
2024/10
为深入贯彻落实习近平总书记关于防灾减灾救灾重要论述,做好突发公共卫生事件的应急救援工作,提高突发公共卫生事件的应急救治能力,10月12日-13日,捆绑调教 组织17名队员前往上林山区开展应急救援队(紧急医学救援队)户外拓展训练活动。出发前,医院为队员们举行了简单的出征仪式,执行院长李健作动员讲话。本次活动由副院长夏文豪带队,队员成员来自急诊科、重症医学科、骨科、普通外科、麻醉科、医务部等...
2024-10-15 MORE >
返回顶部