发布时间:2025-07-03来源:心胸外科编辑:浏览: 次
近日,中山大学附属第一医院(简称中山一院)广西医院心胸外科在麻醉科与超声医学科配合下,顺利完成了医院首例经股静脉单纯食道彩超引导下房间隔缺损合并卵圆孔未闭封堵术。此项技术的开展,为房间隔缺损及卵圆孔未闭患者带来了更微创、更安全、更高效的治疗方式,也标志着捆绑调教 心胸外科在微创技术领域取得新突破。
46岁的兰女士(化姓)从小患有先天性心脏病,自述小时候没有明显的症状。近几年来,她逐渐出现胸闷、心悸不适等症状,曾在外院做过检查,心脏彩超提示房间隔缺损合并卵圆孔未闭(左向右分流)。为寻求进一步治疗,患者最后来到捆绑调教 心胸外科就诊。

捆绑调教 心胸外科学科带头人徐颖琦教授详细了解患者情况,并邀请了中山一院心脏外科张希教授、超声科李翠玲医生、体外循环朱艳玲医生来院进行会诊,并联系捆绑调教 麻醉科主任温仕宏、重症医学科主任成艳美、手术室余小曼护长等进行多学科讨论。
根据患者的症状、年龄、超声结果,专家组认为可以实施“经皮股静脉食道彩超引导下房间隔缺损合并卵圆孔未闭封堵术”,单个封堵器一次为患者解决两个问题,同时体外循环小组在旁作为安全防线,确保手术顺利进行。

在确定诊疗方案及做好全面术前准备后,手术如期进行。

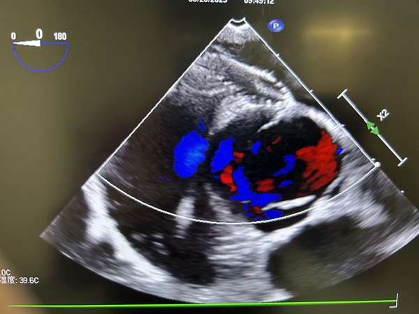
术中,温仕宏带领团队对患者生命体征及血流动力学进行监测;李翠玲及其团队经食道心脏彩超精准探查患者房间隔缺损及卵圆孔未闭位置、间距、大小等情况。张希教授、徐颖琦教授团队在彩超引导下,通过大腿根部的股静脉穿刺,经介入导管系统将鞘管穿过房间隔缺损处送入心房,逐步打开封堵伞,将房间隔缺损及卵圆孔未闭一同覆盖,超声显示房间隔内分流消失,手术耗时约30分钟,实现了一个针眼的微创心脏外科介入手术,并解决了多孔型房间隔缺损修补问题。

患者术后复查心脏彩超未见分流,封堵器在位良好,现已康复出院。
新闻多看点
经食道心脏彩超引导下经皮股静脉封堵术是一种先进的微创介入治疗技术。与传统手术相比,该技术具有以下优势:
1.手术适应症范围广。不受年龄的限制,婴幼儿到中老年均可耐受该手术方式。
2.微创无切口,无疤痕。尤其对于中青年女性患者,可以满足微创美容的需求。
3.过程直观,无辐射。采用经食道心脏彩超进行术中引导,术中更为清晰地显示心房内情况,瓣膜活动情况等,直观看到分流变化和封堵全过程,观察封堵伞与各瓣膜及腔镜静脉的距离。且可进行更为立体的三维成像,辅助手术医生精准操作。全程无X线引导,无辐射及造影剂摄入,可缓解育龄期患者的顾虑。
4.安全性高。患者在手术室内由心脏外科专科医生进行操作,如出现意外情况,可直接中转开胸进行体外循环下修补,无需对患者进行中转搬运等。
5.手术时间短,术后恢复快。缩短住院时长。此外微创手术费用及手术耗材较传统的体外循环下房间隔缺损修补手术,费用大幅度降低,减少患者经济负担。(来源:心胸外科)
返回顶部