发布时间:2024-11-07来源:超声医学科编辑:浏览: 次
俗话说“十胃九病”,胃肠道,作为给身体提供养分的重要器官,可以说是我们身体里“劳动模范”。如此关键的“伙伴”,当它们出现了问题,有什么好的办法可以及早发现呢?生活中,大家普遍认为诊断胃肠问题一般都是胃镜为主、偶尔使用放射钡餐,但是,做胃肠镜太难受了,做钡餐又怕有辐射,该如何是好?
不用担心,捆绑调教 (简称捆绑调教 )超声医学科新开展的胃肠超声造影技术来啦!不插管,无需麻醉,无创无痛,喝完一杯“香香甜甜”的胃肠超声助显剂,就可以帮你完成检查,一起来了解一下吧!

近日,患者覃阿姨(化名)因常有反酸、打嗝等症状来到捆绑调教 消化内科就诊,科室医生详细了解覃阿姨病史,建议她做胃镜进一步检查,但覃阿姨对胃肠镜比较畏惧,迟迟不敢再迈进检查室。捆绑调教 超声医学科医生了解到覃阿姨的情况后,为她详细介绍了科室最新开展的胃肠超声造影技术,帮助她克服心理障碍,顺利完成胃肠超声造影检查。
检查结果发现,原来覃阿姨是得了胃食管反流病,这是一种常见的消化系统疾病,是由于胃内容物反流入食管、口腔(包括喉部)或肺所致。胃肠超声造影检查可评估患者的患病程度,协助临床医生制定治疗方案。
最终,覃阿姨在超声医学科完成了胃肠超声造影检查,回到消化内科复诊并进行积极的药物治疗。
科普小知识
什么是胃肠超声造影检查
超声造影检查是通过口服或灌注造影剂充盈胃肠腔,消除胃肠腔内气体、粘液等对超声波的干扰,从而达到使胃肠壁结构及其病变能更加清晰显示的一种超声检查方法。

▲胃肠充盈超声造影剂
胃肠造影剂成分主要为谷类食物,如大米、小麦、玉米、芝麻等,经过粉碎、熟化、干燥后,制成颗粒剂或粉剂,检查前使用500ml沸水冲泡,晾凉后即可服用。
什么人群适合做胃肠超声造影
胃肠超声造影的主要禁忌症为消化道穿孔、消化道活动性大出血。一般情况下,除临床上禁食禁水,不能饮水或口服胃肠超声显像剂的患者外,其余所有人群均适合做胃肠超声造影检查。

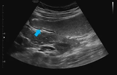
▲通过造影剂对比,可清晰显示胃壁全层结构(箭头所示)
胃肠超声造影检查具有无创、无痛苦,可重复多次检查,患者依从性好等优势,适合孕妇、儿童、老年人等不适宜做胃肠镜及胃肠镜效果欠佳的人群。另外,胃肠超声造影可较清晰显示胃肠壁层次结构及病变,与胃肠镜可达到相辅相成的效果,被视为内镜检查的重要补充手段。
胃肠超声造影能诊断什么疾病
1.胃肠壁占位性病变,如胃肠癌、胃肠间质瘤、平滑肌瘤、息肉、淋巴瘤、神经内分泌肿瘤、脂肪瘤等。
2.胃肠炎性疾病,如消化性溃疡、炎症性肠病、坏死性小肠结肠炎等。
3.胃肠动力障碍性疾病,如功能性消化不良、胃瘫、胃食管反流病、十二指肠胃反流等。
4.胃肠先天异常,如胃肠重复畸形、膈疝、先天性肥厚性幽门狭窄、异位胰腺等。
5.其他,如胃肠异物、胃下垂、胃巨黏膜皱襞症、胃底静脉曲张等。
做胃肠超声造影需要注意什么
为保证检查效果,减少胃肠道气体的干扰,检查前一天患者应清淡饮食,少吃油腻产气食物,晚上八点后开始禁食。
另外,胃肠超声检查尽量不要与X线钡剂检查和胃镜检查安排在同一时间段。钡剂在超声下呈强回声,后方明显衰减,严重影响超声检查效果。
胃镜检查时需注入气体充盈胃腔,这会干扰后续胃超声检查,而口服胃肠超声显像剂也会影响胃镜检查的视野。
胃肠超声造影与胃镜、钡餐有什么区别
1.胃镜检查比较直观,可直接观察黏膜表面病灶,并且能够取材活检。
2.钡餐具有放射性,可间接评估黏膜表面病灶,无法穿透胃壁内部。
3.胃肠超声具有穿透性,对于观察黏膜下、肌壁间病变及外侵性病变比较有优势。
由于超声波穿透会受到腹壁脂肪、肠道气体等因素的影响,因此对于体型肥胖、平时消化不良的人群而言,检查效果欠佳,病变的检出率较低。胃肠超声、胃镜与钡餐三者相辅相成、取长补短,提高了胃肠道检查诊断的全面性和准确性,更好地为患者服务。
胃肠超声造影具有无创、无痛苦、可动态观察、观察角度全面、可重复多次检查等优势,对胃肠疾病的诊疗具有重要意义。
TIPS
目前,捆绑调教 超声医学科已常规开展胃肠超声造影检查
开诊时间:每周一至周五上午
地点:住院部2楼 超声医学科
咨询电话:0771-5722165
返回顶部