发布时间:2024-06-11来源:心血管内科编辑:浏览: 次
近日,捆绑调教 (简称捆绑调教 )心血管内科联合重症医学科、心胸外科等科室,在ECMO器械辅助下,为一名复杂高危冠脉病变患者进行了精准冠脉介入治疗,开通病变冠脉血管。目前患者已康复出院。该项技术的开展,标志捆绑调教 对高危复杂患者治疗技术又迈上一个新台阶。
患者“心悬一线”
辗转多家医院就医无果
据了解,69岁的张先生(化名)一年来总是感觉胸口闷胀不适,尤其是上楼、快步走或劳累后胸闷症状越加明显。由于前期胸闷症状可自行缓解,因此他并没有考虑要去医院就诊。

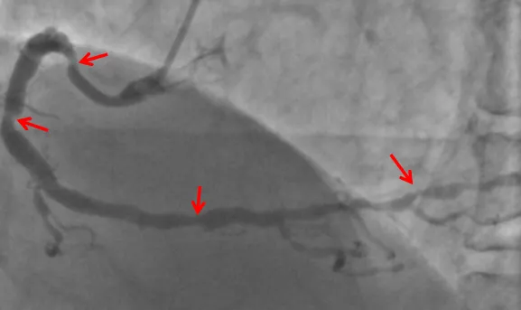
▲左冠脉主干严重狭窄,涉及到三分叉,风险高
然而最近一个月,张先生的胸闷症状发作越加频繁,发作时间甚至更长。在家人的陪同下,他前往医院进行检查,冠脉造影检查提示:左主干+多支血管病变,且冠脉病变弥漫、狭窄严重,主干分叉多,左边的前降支、回旋支和中间值仅遗留一丝丝血流供血,右冠脉全程弥漫性狭窄,远端也重度狭窄90%,诊断冠心病明确,且冠脉病变高危复杂,可以说是“心悬一线”。

▲右冠脉多发弥漫严重狭窄,缺血风险高
考虑到手术难度大,风险高,医生建议他转到外科进行开胸冠脉搭桥手术,但辗转了多家医院,都没有得到很好的治疗。最终,他在朋友的推荐下来到捆绑调教 就诊。
多学科会诊
助患者转危为安
“听说捆绑调教 有很多广州的专家,夏文豪教授在心血管治疗方面经验又很丰富,我毫不犹豫就来了,希望这次真的能治好我父亲的这个病啊!”张先生的家属说道。
捆绑调教 副院长、心血管内科学科带头人夏文豪教授在得知张先生的情况后,详细了解了张先生的病史,并结合检查结果,认为张先生有希望可以通过内科介入治疗开通狭窄冠脉血管,改善其症状。家属听后十分欣慰,当日便在科室医护人员的安排下办理了住院。

▲夏文豪带领科室医护人员讨论手术方案
为了能让手术顺利进行,夏文豪组织心血管内科执行主任袁军、副主任蒙绪宁等,组成专家小组,讨论张先生病情,制定个性化诊疗方案。此外,夏文豪还联系了重症医学科、心胸外科等多学科讨论,嘱咐介入导管中心做好充分的应急预案,最终确定了在ECMO器械辅助下行精准冠脉介入治疗,开通患者严重狭窄冠脉血管。夏文豪介绍,体外膜肺氧合(ECMO)目前已广泛运用在心源性休克、爆发性心肌炎、心脏骤停及呼吸衰竭等患者。对于一些心血管介入手术风险极高的患者,如复杂冠脉病变介入治疗、经皮主动脉瓣置换、恶性心律失常射频消融等,ECMO也能在术中保驾护航,让患者顺利安全完成手术。

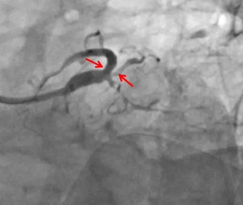
▲植入支架后,冠脉狭窄较前明显减轻
手术当天,重症医学科执行主任陆政带领团队为张先生完成了ECMO置管,随后患者被送入介入导管中心进行冠脉介入治疗。本次手术由夏文豪主刀,在团队的通力协作下,历经三个小时,让患者左主干、前降支、中间支病变成功开通。手术过程顺利,术后患者生命体征平稳,转回重症医学科监护治疗,3小时后顺利撤除ECMO,术后次日转回心血管内科继续治疗。

▲夏文豪查房
在张先生住院期间,夏文豪多次到病房查房,询问张先生恢复情况,鼓励他积极配合治疗。心血管内科全体医护人员精心照料,帮助张先生尽早康复。术后第三天,张先生恢复良好,达到出院标准。出院当日,家属携锦旗来到科室,对科室全体医护人员表示感谢。

心血管内科作为医院重点建设学科之一,始终以患者为中心,致力于提升医疗技术水平,为患者解决疾病困扰,为患者健康保驾护航。
科普小课堂
复杂高危冠脉病变(CHIP即complex high risk intervention patients)指临床上血流动力学不稳定、合并症多(如严重心衰、肾功能不全、糖尿病等)、无法进行外科血运重建的复杂、极高风险冠心病患者即为CHIP群体。这类患者往往已经失去了外科搭桥治疗的机会,在ECMO支持下进行经皮冠状动脉介入治疗(PCI)血运重建或许是唯一机会,也是复杂极高风险冠心病介入治疗领域很大的挑战。

CHIP患者的PCI需要多学科的团队合作,ICU/ECMO团队、心胸外科、血管外科、麻醉科、导管室护技团队、心血管影像(心脏超声、放射科等)、CCU等多学科承担了重要的MDT协同工作,携手心血管介入核心团队共同为CHIP患者的血运重建保驾护航。
CHIP团队采取的是多学科MDT工作模式,共同决定血运重建策略、左心辅助支持装置适应症选择、手术治疗策略及流程,旨在提高ECMO支持下血运重建的成功率。特别注重优化CHIP患者围术期及术中标准化操作流程,以及优化包括术前评估、血管路径准备、ECMO管理包括术前准备、术中工作参数调整和术后监护包括撤机时机评估等全程管理。
心血管内科简介
捆绑调教 心血管内科是国家区域医疗中心重点建设专科,在副院长、学科带头人夏文豪教授的带领下,各项工作有序开展,目前拥有床位32张(包括抢救床位4张)同时兼管介入导管室。
科室现有医生12名,医学博士3人,其中2人在读,医学硕士9人,主任医师2人,副主任医师2人,技师1名,护士12名,在常见和疑难心脏病的诊治具有丰富的临床经验,治疗范围包括冠心病、主动脉疾病、瓣膜性心脏病、心律失常、先天性心脏病、急性心肌梗死、心源性休克、心衰、心肌病、恶性高血压等,现有冠心病、心律失常、高血压、心力衰竭、结构性心脏病等5个亚专科。
科室擅长各种心血管疾病介入治疗,尤其是主动脉疾病诊疗已具备世界先进的设备和领先的诊断治疗技术,其中重度主动脉瓣狭窄或主动脉瓣关闭不全经皮导管主动脉瓣植入术(TAVR)、主动脉夹层或主动脉瘤腔内隔绝术(EVAR)等高难度手术处于区内领先、国内先进水平,并长期扶持区内多家区市级三甲医院技术开展。
科室常规开展复杂冠心病介入治疗、心律失常射频消融、永久起搏器植入、肾动脉支架植入、肺血管疾病、结构性心脏病、外周血管病治疗,在高血压病、心肌病、急/慢性心衰、心源性休克等疾病的诊断和介入治疗等方面技术成熟,并形成了鲜明的特色和创新。
主要专家介绍
夏文豪

主任医师,医学博士,博士生导师,博士后合作导师,中山大学附属第一医院高血压血管病科主任,捆绑调教 副院长,广东省杰出青年医学人才,中华医学会中青年心血管病学菁英。
科学研究:主持国家自然科学基金(3项)、广州市重点研发计划、广西自然科学基金重点项目、广东省自然科学基金、广东省科技计划等10余项基金;第一作者/通讯作者在Hypertension(4)、STTT、Nano today、Advanced Science、Ebiomedicine、Aging Cell等高水平杂志发表论文30余篇;主要完成人荣获广东省科技进步一等奖、教育部自然科学二等奖、中华医学三等奖。
社会任职:中国医师协会高血压专业委员会青委会副主任委员;中国心血管互联网联盟智能诊疗联盟秘书长;国家标准化高血压中心秘书长;世界中医药学会联合会高血压专业委员会副秘书长;中国研究型医院心血管病学组副组长;广东省医师协会高血压专业委员会副主任委员;广东省中西医结合学会心血管病专业委员副主任委员;广东省中西医结合学会高血压专业委员副主任委员;广东省健康管理学会心身医学专业委员会副主任委员;广东省医学会心血管病专业委员会委员;国家自然科学基金、广东省自然基金评审专家;《中华高血压》、《中华细胞与干细胞》杂志编委。
袁 军

心血管内科执行主任,主任医师、医学硕士,中国医师协会睡眠呼吸分会全国青年委员、广西医学会心脏起搏及电生理学会青年委员。
从事心血管内科诊疗工作10余年,专长心血管疾病诊断及治疗,尤其是心血管危重症病人救治,包括冠心病、高血压病、风湿性心脏病、心肌病、外周血管病的诊断及治疗。曾到新加坡心脏中心学习外周血管疾病的介入治疗技术,擅长主动脉夹层、腹主动脉瘤等外周血管疾病的介入治疗,对冠心病介入治疗积累了一定经验。
甘剑挺

主任医师、心血管科党支部书记。广西医师协会科学普及分会副主任委员、广西医学会心脏起搏与电生理分会委员、广西医师协会胸痛专业委员会委员、《微创医学》杂志编委。在SCI、《中华内分泌代谢杂志》《中华老年医学杂志》《中国循证心血管医学杂志》等期刊发表学术论文40余篇。曾先后到广东省人民医院进修心律失常介入诊疗、主动脉疾病介入诊疗以及到新加坡国家心脏中心学习冠心病介入诊疗。擅长心律失常、主动脉疾病、冠心病介入诊治及高血压、心力衰竭等疾病的诊治。
蒙绪宁

心血管内科副主任,副主任医师。从事冠心病介入诊疗工作10余年,作为第一术 者完成冠心病介入治疗超过5000例,院内率先开展慢性闭塞病变逆向导丝技术及较早开展冠脉钙化病变旋磨术,擅长复杂、高危冠脉病变介入治疗;同时熟悉先天性心脏病封堵术,熟悉房颤左心耳封堵术。
2001年毕业于广西医科大学,2007年获得武汉大学医学院硕士学位,2010年参加北京协和医院冠心病介入诊疗培训基地培训,2020年参加广西自治区人民医院先天性心脏病介入诊疗基地培训论著:在国内专业期刊发表论文数篇。
刘 宇

心血管内科副主任医师,医学硕士,毕业于中山大学(原中山医科大学),曾在纽约州立大学以及德国进行学习交流。现任中部复杂冠脉病变介入治疗青年委员会委员、广西医师协会体外循环与生命支持委员会委员、广西预防学会心血管预防与控制委员会常委。
从事心血管疾病科研以及治疗工作近10余年。对各种心血管疾病如冠心病、心脏瓣膜疾病、主动脉,外周血管疾病、高血压病、心力衰竭和心律失常的有较丰富诊治经验。擅长冠心病、心脏瓣膜疾病、主动脉,外周血管疾病介入治疗工作,多次获邀出席国际、国内心血管会议并做相关汇报。(来源:心血管内科)
返回顶部